Corona oder nicht?

Studentin entwickelt Röntgen-Software für COVID-19-Diagnose

5. August 2020, 11:37 Uhr | Selina Doulah
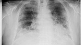
Eine einseitige Veränderung in der Lunge ist ein Hinweis für Bakterien.
© HHN

Das Corona-Virus fordert schnelle Lösungen, um Erkrankten effizient helfen zu können. Eine Früherkennung kann insbesondere bei einem potentiell schweren Verlauf Leben retten. Genau hier setzt die Studentin Lena Kopp an. Sie entwickelte eine Röntgen-Software, zur Früherkennung einer Corona-Infektion.

Diesen Artikel anhören

Mit ihrer Möglichkeit, Röntgenbilder zur Covid-19-Diagnose einzusetzen, geht sie sogar einen Schritt weiter: »Mir ist es besonders wichtig mit meiner Arbeit etwas zu tun, was Menschen in ärmeren Ländern in dieser schwierigen Zeit von Nutzen sein kann.«
Denn: Üblicherweise wird bei Verdacht auf eine Infektion mit dem Virus der bekannte Nasen- und Rachenabstrich durchgeführt. Bei Verdacht auf einen schweren Verlauf wird eine Computertomographie (CT) angeordnet. In Entwicklungsländern stehen weder Test-Kits, noch Möglichkeiten einer CT ausreichend zur Verfügung.

So hat Lena Kopp in ihrer Studienarbeit eine Röntgen-Software entwickelt, die zwischen einer bakteriellen- und einer viralen Lungen-Erkrankung unterscheiden kann – völlig automatisch.  »Da oft kein CT-Equipment zur Verfügung steht, konventionelles Röntgen jedoch inzwischen weit verbreitet ist, ist es aus meiner Sicht besonders sinnvoll die vorhandenen Möglichkeiten optimal zu nutzen und zur Unterstützung der Ärzte Röntgenbilder automatisiert auswerten zu können«, sagt die Studentin.

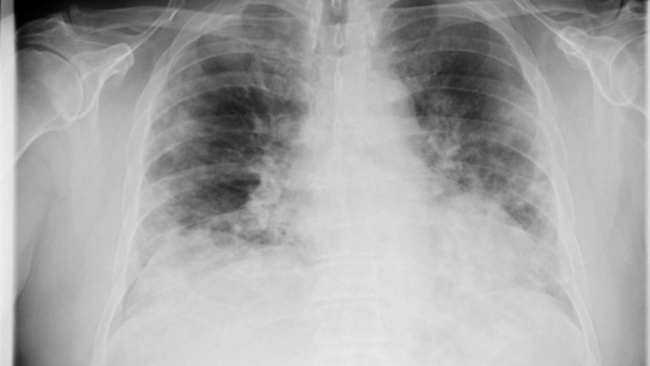
Eine gleichmäßige Ausbreitung über die Lunge ist dagegen ein Zeichen für Corona.
Eine gleichmäßige Ausbreitung über die Lunge ist dagegen ein Zeichen für Corona.
© HHN

So wird zwischen Bakterien und COVID-19 unterschieden

Prof. Dr. Alexander Jesser, betreute gemeinsam mit seinem Mitarbeiter Roman Radtke die Studentin bei ihrer vielversprechenden Forschungsarbeit. Jesser erläutert: »Bei einer Erkrankung der Lunge ist das betroffene Gewebe meist weniger transparent für die Röntgenstrahlung und kann durch seine Form und Abgrenzung Aufschluss geben, um welche Art der Krankheit es sich handelt. Eine Covid-19-Erkrankung zeigt meist milchglasartige Veränderungen in beiden Lungenflügeln. Ist eine Erkrankung der Lunge durch eine Infektion mit Bakterien erfolgt, ist mehrheitlich nur ein Flügel der Lunge verändert. Eine gleichmäßige Ausbreitung über alle Bereiche der Lunge ist dabei also ein Hinweis auf eine Covid-19-Infektion.«

Algorithmus ermittelt im Binärbild Kanten von geschädigtem Gewebe

Zur automatisierten Auswertung werden die Aufnahmen in einen Standard-PC eingelesen und mit einer speziellen mathematischen Operation der Kontrast erhöht – ein Vorteil bei qualitativ schlechten Aufnahmen, die mit älteren Röntgenanlagen entstehen. Die Software erstellt neben einem Falschfarbenbild, das die Auswertung vereinfachen kann, ein Binärbild, auf welchem sich bereits die Umrisse der Lunge, sowie Spuren von geschädigtem Gewebe erkennen lassen. Durch einen weiteren Algorithmus werden die im Binärbild vorhandenen Kanten und Grenzen der einzelnen Bereiche ermittelt. Die Software kann durch weitere Berechnungen Flächen- und Symmetriebetrachtungen vollziehen und anhand dieser mit großer Wahrscheinlichkeit zwischen bakterieller- oder viraler Lungenentzündungen unterscheiden.

Auch Radiologe am Universitätsspital Basel, Dr. Konrad Appelt, der beratend zur Forschungsarbeit beigetragen hat, sieht die automatisierte medizinische Auswertung von Röntgenbildern positiv: »Klar ist, dass diese Methode ein qualifizierter Arzt nicht ersetzen kann und ein einfaches Röntgenbild nicht die diagnostische Qualität eines Computertomographens aufweist, sie kann aber eine sehr sinnvolle, zusätzliche Maßnahme zur Diagnose der Covid-19-Erkrankung sein.«


Lesen Sie mehr zum Thema


Das könnte Sie auch interessieren

Jetzt kostenfreie Newsletter bestellen!

Weitere Artikel zu elektroniknet

Weitere Artikel zu Medizinelektronik/-technik

Matchmaker+