Kardiologie

Klare Landkarte des Herzens

3. März 2022, 14:34 Uhr | Siemens Healthineers
Herz und EKG-Linie vor blauem Hintergrund (Symbolbild)
© AdobeStock/TeacherX555

Siemens Healthineers präsentiert neues Angiografie-System

Diesen Artikel anhören

Herz-Kreislauf-Erkrankungen sind die weitaus häufigste Todesursache weltweit. Daher baut Siemens Healthineers sein Portfolio im Bereich der Kardiologie weiter aus, zum Beispiel mit dem »Innovation ist Artis icono biplane«, ein Angiografie-System mit in der Größe für kardiologische Interventionen optimierte Detektoren. Features für die Diagnose und Therapie von Herzrhythmusstörungen, koronarer Herzkrankheit und struktureller Herzerkrankung sollen die klinischen Arbeitsabläufe vereinfachen, gleichzeitig liefere das System sehr gute Bildqualität bei niedriger Strahlendosis.

Bei komplexen kardiovaskulären Erkrankungen und deren interventioneller Behandlung ermöglicht Artis icono biplane eine einfache Positionierung der C-Bögen – speziell bei der Darstellung in steilen Angulationen (Winkelstellungen). Zudem werden Aufnahmen aus verschiedenen Angulationen zeitgleich durchgeführt – das spart Zeit und kann für Patient*innen in einer geringeren Kontrastmittelgabe resultieren.

Das Gerät der Siemens-Tochter verfügt über eine einzigartige Kontrast-zu-Rausch Röntgen-Regelung, die die Bildqualität stabil aufrechterhält – unabhängig von Personengröße und Angulation. Das sorgt für sehr gute Bildqualität bei niedriger Strahlendosis für medizinisches Personal und Patient*innen.

Bildartifakte reduzieren

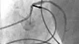
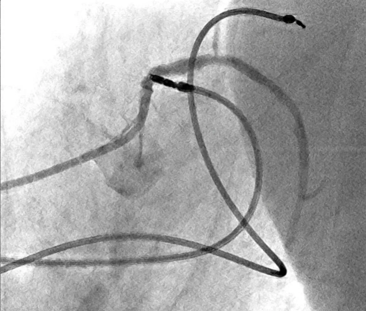
Das Angiografie-System ermöglicht eine gute Darstellung der verwendeten Instrumente wie beispielsweise diagnostischem Katheter oder Ablationskatheter.
Das Angiografie-System ermöglicht eine gute Darstellung der verwendeten Instrumente wie beispielsweise diagnostischem Katheter oder Ablationskatheter.
© Siemens Healthineers

Bei der Therapie von Herzrhythmusstörungen ist ein Elektro-Mapping des Herzens erforderlich, mithilfe dessen die Elektrophysiolog*innen die Quelle der Arrhythmie ausfinding machen können, um sie dann via Ablation zu behandeln. Artis icono biplane wird mit Mapping-Systemen anderer Anbieter kompatibel sein – das sorgt unter anderem für störungsfreie Bilder und kann zu einer weiteren Verringerung der Strahlenexposition führen.

Für gewöhnlich kommunizieren Angiographie- und Mapping-System über ein elektromagnetisches Feld miteinander, was mit einer Bildstörung einhergeht – statt einer klaren Landkarte des Herzens sieht man dann ein von Streifen überlagertes Bild. Artis icono biplane kann diese Bildartifakte reduzieren und ermöglicht eine gute Darstellung der verwendeten Instrumente wie beispielsweise diagnostischem Katheter oder Ablationskatheter.

Bei koronaren Herzkrankheiten kann mit Artis icono biplane dank integrierter Quantifzierung auf die Voruntersuchung mittels Druckdraht verzichtet werden, mit der die Relevanz der Stenose ermittelt und entscheiden wird, ob ein Stent notwendig ist. Mit Hilfe des neuen Features »angio-derived vFFR« (Fractional Flow Reserve) sind stattdessen lediglich zwei Bildaufnahmen nötig, um das betroffene Gefäß dreidimensional darzustellen und die nötigen Informationen zu erhalten.

Der Vorteil dieser bildgestützten Methode: Obwohl es sich bei der Diagnose über Druckdraht um einen Routineeingriff handelt, besteht für Patient*innen dennoch das Risiko von Gefäßverletzungen. Zusätzlich kann die für die Prozedur mit Druckdraht nötige Gabe von Medikamenten zu Unwohlsein führen, zudem brauchen diese Medikamente eine gewisse Wirkungszeit, um das Herz in Stress zu versetzen.

Angiografie-System für minimal-invasive Eingriffe

Angioagrafie-System  Artis icono biplane
Angioagrafie-System Artis icono biplane
© Siemens Healthineers

Für Eingriffe bei struktureller Herzerkrankung, wie etwa bei Transkatheter-Aortenklappen-Implantation (TAVI), dem Verschluss des linken Vorhofohrs (LAA Closure) oder der Implantation eines Mitralklappenersatzes (TMViV), bietet Artis icono biplane die Möglichkeit der Fusionsbildgebung. Dabei können Angiographie-Bilder mit Live-Ultraschall-Bildern überlagert werden. Die fusionierten Bilder tragen zudem zu einer besseren Abstimmung zwischen den behandelnden Interventionellen Kardiolog*innen und bildgebenden Kardiolog*innen bei.

»Zeitmangel und Kostendruck machen auch vor der Kardiologie nicht halt. Artis icono biplane trägt diesen Themen Rechnung – ein umfangreich ausgestattetes Angiografie-System für minimal-invasive Eingriffe, das individuelle Arbeitsabläufe erleichtert und die Bildqualität verbessert. Und all das gemäß dem ALARA-Prinzip, also mit einer Dosis so niedrig wie vernünftigerweise erreichbar«, sagt Doris Pommi, Leiterin des klinischen Segments Cardiovascular Solutions bei Siemens Healthineers.

Artis icono biplane ist mit dem Feature Case Flows ausgestattet, mithilfe dessen eigene, feste Arbeitsabläufe definiert, standardisiert und abgespeichert werden können, um wertvolle Zeit bei der Vorbereitung einzusparen. Diese automatisierten Einstellungen zur Optimierung von Bildgebungsparametern können, etwa zur Einstellung der Angulationen, mit nur einem Klick abgerufen werden, statt das System manuell einzustellen. (me)


Lesen Sie mehr zum Thema


Jetzt kostenfreie Newsletter bestellen!

Weitere Artikel zu Siemens Healthcare Diagnostics GmbH